각종 샘플(세포, 조직, 환경샘플 등)로부터 고품질
DNA나 RNA를 가장 쉽고 빠르게 뽑을 수 있습니다.
이 외에도, 각종 Epigenetics 관련 제품들
(DNA Methylation kit 등)과 Microbiomics
(샘플 채집부터 분석까지의 전 단계의 제품)
연관 제품들이 준비되어 있습니다.
제품정보
Kyongshin PRODUCT
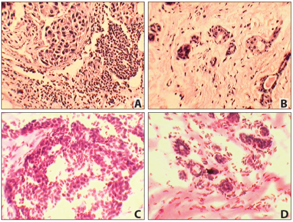
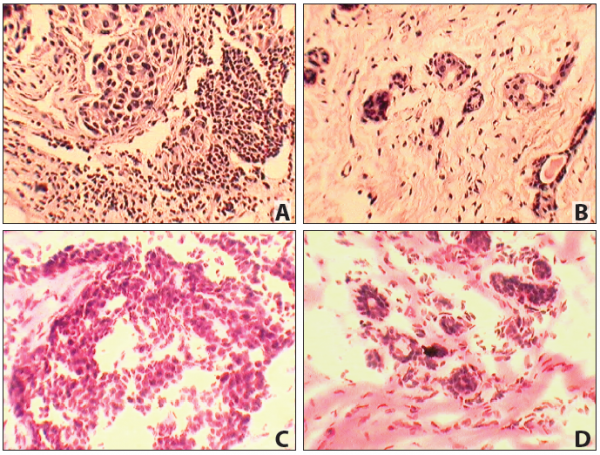
FDA Standard FFPE Tissue Array
T8234701-1
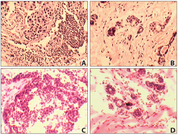
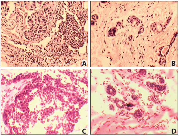
FDA Standard FFPE Tissue Array
T8234701-5